Les motifs de consultation des patients sont généralement les suivants :
À l’exception des patients du cabinet qui viennent pour leur séance de maintenance préventive, au cabinet Horizon sourire, nous proposons un bilan à l’ensemble des nouveaux patients, ou ceux qui ne sont pas venus consulter depuis longtemps.
Bien sûr, nous prenons le temps de répondre à l’urgence ou à la demande pour laquelle ils ont pris rendez-vous, mais en proposant un bilan, nous souhaitons faire un point beaucoup plus global avec le patient.

En effet, lorsqu’un patient vient consulter, nous sommes absolument convaincus que nous pouvons lui apporter beaucoup plus que les « soins dentaires » qu’il est venu chercher.
Nous pouvons lui permettre de retrouver une mastication et une fonction qu’il ne pensait pas pouvoir retrouver, mais nous pouvons aussi développer sa confiance en lui, en améliorant son apparence, et en contribuant à lui donner une meilleure estime de lui-même.
Notre métier est formidable, car il contribue directement à améliorer l’image du patient, et la manière dont il sera perçu dans le monde, tout en lui rendant une dentition saine.
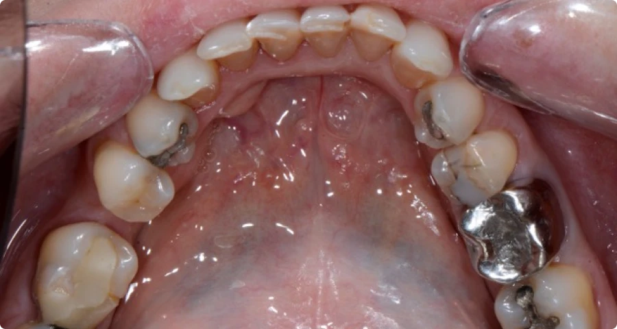
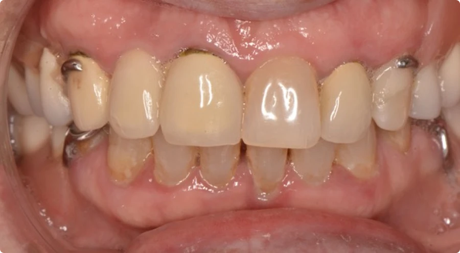
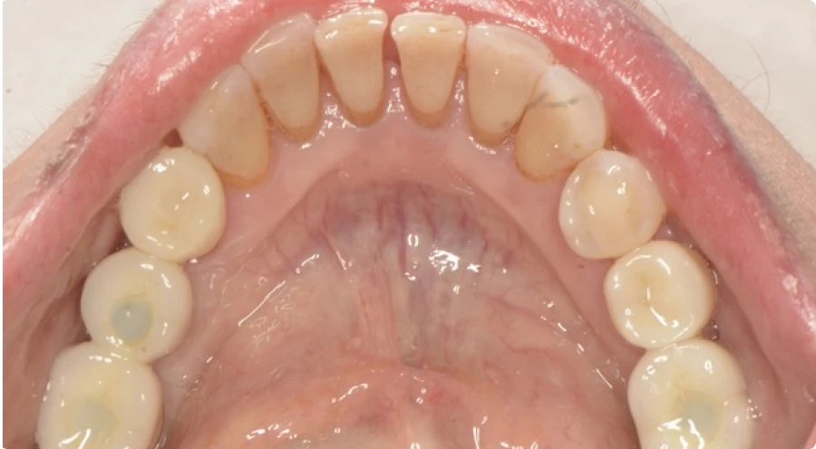
Cas de réhabilitation globale réalisés au cabinet
Pour nos patients, un beau sourire sain peut leur permettre de trouver un meilleur travail, ou une nouvelle relation, ou tout simplement de se sentir plus à l’aise dans leur environnement social.
Il est prouvé que les gens qui sourient davantage se sentent mieux, et vivent plus longtemps.
Et nous sommes convaincus que nous, chirurgiens dentistes, et le cabinet Horizon Sourire en particulier, pouvons contribuer à cela.
Ainsi, lors de la première consultation, nous prenons le temps d’écouter notre patient, afin de connaitre ses doléances, son histoire dentaire, mais aussi les problèmes ou les peurs qui nous permettent de comprendre les raisons de l’état dentaire qu’il présente.
Nous réalisons ensuite un co-diagnostic où le patient nous montre les problèmes dont il a connaissance, mais où nous pouvons aussi lui montrer des problèmes que nous voyons et qu’il n’avait pas perçus.
Pour se faire, nous réalisons un examen clinique complet, un examen radiologique complémentaire lorsqu’il est nécessaire, un bilan photographique, et parfois un enregistrement des deux arcades dentaires afin de mieux comprendre leur engrènement.
Avec l’ensemble de ces éléments, nous pourrons proposer à notre patient, quel que soit l’état de santé dentaire dans lequel il est arrivé, de retrouver une santé dentaire optimale, tant sur le plan fonctionnel qu’esthétique. Bien sûr, cela nécessitera ensuite un suivi régulier par des séances de maintenance régulière.
Le traitement proposé pourra faire appel aux disciplines suivantes :
Pour illustrer l’impact de nos traitements, voici quelques exemples concrets de réhabilitations globales réalisées au cabinet Horizon Sourire. Ces cas cliniques montrent différentes situations où des traitements multidisciplinaires ont permis à nos patients de retrouver une santé dentaire optimale. Chaque photo présente l’évolution avant et après les soins, mettant en évidence les résultats fonctionnels et esthétiques obtenus. Ces exemples démontrent notre approche globale, personnalisée et coordonnée, visant à restaurer la mastication, améliorer l’apparence du sourire, et renforcer la confiance de nos patients. Découvrez ces transformations qui témoignent de notre engagement à offrir des soins dentaires de qualité.














Le traitement de réhabilitation globale pourra faire appel à plusieurs de ces disciplines, mais aussi à d’autres compétences médicales comme un ostéopathe, un kiné, un orthophoniste etc…
Au cabinet Horizon Sourire, nous organiserons le traitement du patient tel un chef d’orchestre, en planifiant les séances de soins et parfois en orientant le patient vers un spécialiste afin d’arriver au résultat final choisi.
Voir aussi : Dentiste à Taverny, Dentiste à Saint-leu-la-Forêt, Dentiste à Saint-Prix